首页 科室首页 科室介绍 科室动态 医生介绍 特色诊疗 技术前沿 科室影像 健康教育 联系我们
您当前的位置 : 天津市第三中心医院 >> 科室导航 >> 整形美容科 >> 科室动态
痘坑痘印去不掉?选对方法很重要!
2021-10-25 10:48:00  来自:天津市第三中心医院

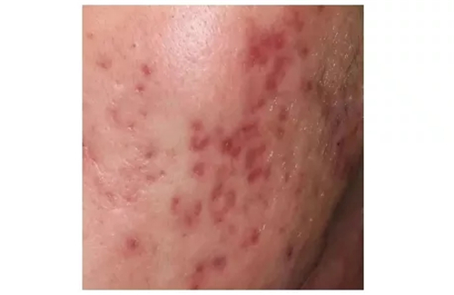
  像月球表面一样凹凸不平,或粉或褐色,一个又一个的小坑印。洁白光润的脸上,就被这样难看的东西覆盖着……风华正茂的年纪,正是“靠脸”吃饭的好时候,这简直是要砸人饭碗啊!

  这种被称为“痘印”“痘坑”的痤疮后遗症,每一个长过痘痘的人都可能“中招”。

  痘印和痘坑不一样

  痘印是痤疮之后留下的印记,是身体对组织损伤产生的一种修复反应。当皮肤的损伤深及真皮或有大面积的表皮缺损,该部位的表皮就不能再生,将由真皮纤维细胞、胶原以及增生的血管所取代,所以出现了“痘印”。

  当使用不当的方法祛除痘印时,就造成了痘痘所在的位置明显凹陷,从而形成更难恢复的“痘坑”。

  出现痘印痘坑,很大程度上都是因为皮肤真皮胶原的缺失,想要达到真皮胶原恢复的效果,大部分治疗方案都是对皮肤有创伤的。

  如果脸上的痤疮还很活跃,这种创伤过程可能会因为新的感染而加重皮肤问题。就需要综合治疗尽早干预,如果近期稳定脸上没有新起的痘痘,且皮肤表面仅剩单纯的痘印或者痘坑,那么便可以着手治疗痘坑.

  痘坑的分类

  尖锥型痘坑是难治疗的一种痘坑,临床上分为深浅两种。一般是炎症反应不严重,较大粉刺排除后留下的垂直性隧道样缺损。主要表现是细小的皮肤缺失。

  车厢型痘坑是常见的一种类型,在临床上依据大小、深浅、边缘等情况有较多变异不典型的。一般是由于局部皮肤全层炎症破坏炎症形成。主要表现为皮肤萎缩、截断样凹陷。

  滚动型痘坑以男性多见,此痘坑重灾区是颞部、面颊。一般是由于皮肤较深处的组织在炎症破坏下形成的。主要表现皮肤萎缩不严重,但是有较大范围的塌陷改变。

  痘坑选择超脉冲CO2点阵激光

  可以这么认为,超脉冲CO2点阵激光是经典治疗痘坑的方法。

  点阵激光密集、有序地打在治疗部位,可直接作用于真皮组织,刺激皮肤胶原重塑再生,从而达到“磨皮效果”。这个过程是比较漫长的,所以,治疗需要长期坚持。一般间隔1-2个月一次,大约3-6次,就能起到显著的治疗效果。治疗后皮肤不仅仅痘坑、痘印消除或减淡,更重要的是皮肤的质地、色彩和弹性有了明显的改善,达到紧肤、嫩肤及去除色斑的效果。

  点阵激光术后注意事项

  1.术后7天之内尽量避免治疗部位沾水。

  2.治疗后第三天局部创面开始形成微小颗粒的痂皮,约7-10天痂皮会脱落完毕。一定让痂皮自行成熟脱落,切勿抠掉。

  3.有部分患者会出现色素沉着(深肤色的皮肤易出现),一般停止治疗在6-12月会变浅或消失,配合药物治疗会加速色沉的消退。

  4.注意饮食,勿食用辛辣刺激食物,戒烟酒。

  5.治疗后避免强烈日晒(建议使用SPF≥30-50的物理防晒霜)。

  具体治疗方法和注意事项您可到三中心医院整形美容科就诊咨询。

  (整形美容科刘海涛)

 
 特色诊疗 更多
·美容外科
·整复再造
·伤口处理
·瘢痕防治
·激光美容
·注射微整形
 技术前沿 更多
·多种移植技术相结合修复鼻翼、...
友情链接 >>
 
版权声明 | 法律责任 | 隐私声明 | 网站地图 | 联系我们
医院地址:天津市河东区津塘路83号 邮编:300170
电话:022-84112114 传真:022-84112095
备案序号:津ICP备05000049号-1