首页 科室首页 科室介绍 科室动态 医生介绍 特色诊疗 技术前沿 科研教学 健康教育 联系我们
您当前的位置 : 天津市第三中心医院 >> 科室导航 >> 眼科 >> 科室动态
一名眼科医生的惊魂十分钟——记被激光笔意外照射后
2023-02-01 14:19:00  来自:天津市第三中心医院

  激光笔会伤害眼睛的黄斑,引起不可挽回的视力损伤,作为一名眼科医生,我深深知道这一点,尽管平时不用激光笔,但还是意外被它照射到了,个中滋味与君分享。

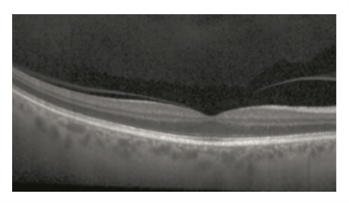
  那天接女儿放学路过一个文具摊,各色文具琳琅满目,各种笔总是让人好奇,我拿起一支长得很像眼科医生平时用的手电筒的笔,上面有两个按钮,按下其中一个按钮发出的真的是手电筒的那种弥散的灯光,没想到文具店也卖手电笔!我的眼科检查手电笔正好坏了,可以顺便买一个呀!正这么想着,我下意识地按下另外一个按钮,是一束正对着我的眼睛的蓝紫色强光,确切地说是正对着右眼的黄斑,糟糕!是激光笔!虽然从激光照射到我反应过来的时间不足1秒钟,但当我闭上左眼,右眼可以感觉到眼前中央是一个豆粒大小的圆形暗斑,暗斑中央是看不清楚的,周边的视野都是没问题的,顿时我的脑海中闪现出激光笔照射后黄斑光损伤、甚至是黄斑裂孔的图像(图1示正常黄斑,图2示黄斑外层关键细胞的断裂,图3示激光笔照射后黄斑裂孔),要知道黄斑可是人的眼睛看东西非常非常关键的部位,我的心中充满了懊悔,如果我的黄斑真的损伤了怎么办!黄斑裂孔后的世界将永远是视野中间的暗斑,想看哪里哪里不清楚,想想都让人难过!

  图1 正常黄斑

  图2 激光笔照射后黄斑外层细胞—椭圆体带断裂(箭头)

  图 3 激光笔照射后黄斑全层裂孔

  女儿还在文具的世界里“流连忘返”,而我每隔一小会儿就会试一下眼前的暗斑有没有消失,但愿只是强光照射后的后像现像。所谓后像日常生活中也能体会到,比如我们看家里的电灯一段时间后关灯后会眼前有一个亮的白点的情况。五分钟过去了,眼前暗斑没有什么变化,我有些着急了,我又拿起这支笔,发现它本身就很小的标签上面用大写的英文写着DANGER字样,但是这个字也太小了,有老花眼的人估计是看不清楚的,不懂英文的人也是看不懂的。激光笔应该用非常显眼的汉字标明它的危险性,标识应该设计得非常清楚才行啊。好在这个激光笔是摆在比较高的位置的,一般低年级的孩子应该是不太容易够着的。大约十分钟后,我再次试了一下,眼前的暗斑淡一些了,通过暗斑能隐约看到下面的字了,我心里舒服了一些。

  十分钟后,我的眼睛基本恢复了正常,外面的天很蓝,云朵很白,阳光很明媚,生活依然美好。作为一名眼科医生,视野中央暗点的糟糕体验让我更能理解我们的黄斑病变患者的切身感受,激光笔的危险性通过我的经历想再次告诉大家,激光笔不要给儿童玩,更不应该卖给儿童,激光笔要在售卖区明确、醒目地标明其危险性,黄斑一旦真的损伤追悔莫及。

  (眼科徐文君)

 特色诊疗 更多
·眼科新治疗——抗VEGF玻璃体腔注药
·白内障超声乳化抽吸联合人工晶...
·荧光素眼底血管造影
·翼状胬肉切除联合自体角膜缘干...
·眼底激光治疗
 技术前沿 更多
·眼底激光的治疗
·眼底血管造影
友情链接 >>
 
版权声明 | 法律责任 | 隐私声明 | 网站地图 | 联系我们
医院地址:天津市河东区津塘路83号 邮编:300170
电话:022-84112114 传真:022-84112095
备案序号:津ICP备05000049号-1