首页 科室首页 科室介绍 科室动态 医生介绍 特色诊疗 技术前沿 科研教学 健康教育 联系我们
您当前的位置 : 天津市第三中心医院 >> 科室导航 >> 呼吸科 >> 科室动态
【我为群众办实事】重症肺炎命悬一线 精准治疗化险为夷
2022-05-23 08:58:00  来自:天津市第三中心医院

  日前,天津市第三中心医院呼吸科先后利用高流量湿化氧疗技术、纤维支气管镜技术、宏基因组测序mNGS检查及床旁快速微生物学评价技术m-ROSE,成功救治了一名96岁重症肺炎伴多脏器功能不全的患者,目前患者已恢复出院。

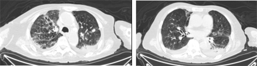
  患者常先生因“间断呕吐1周,伴发热4天”来我院呼吸科就诊。入院前4天,患者病情迅速进展,体温最高达39℃,一般状况差,喘息症状加重,行胸部CT示右肺及左肺上叶大片实变、斑片、索条及磨玻璃密度影(见图1),入院后急查动脉血气提示I型呼吸衰竭,低氧血症,鼻导管吸氧流量5L/min,末梢氧合波动在85%-88%,患者体温持续在39.5℃以上,B型钠尿肽2399.6pg/ml,尿素氮19.85mmol/L,肌酐187umol/L。结合该患者的症状、体征、影像学及实验室检查,考虑为重症肺炎、呼吸衰竭、急性心力衰竭、肾功能不全。

  图1胸部CT(2022.03.01)

  入院后,医生在向患者家属追问病史时发现,近3天患者一家三口出现聚集性发热,且在其发病1月前有鹦鹉饲养史,其中部分鹦鹉死亡。陶丝煦医师立即联系患者家属,建议其前往我院发热门诊就诊,两位家属行胸部CT检查均提示左肺下叶大片实变影,基于上述生活史及聚集性发病特点,高度怀疑患者为鹦鹉热衣原体感染。因患者高龄,一般状况差,病情进展迅速,如何尽早明确病原学诊断实行精准化抗感染治疗,对患者的预后至关重要。但患者入院后呼吸衰竭、急性心力衰竭,无法耐受纤维支气管镜检查,故暂予无创正压机械通气结合高流量湿化氧疗改善缺氧,经验性抗感染治疗。与此同时,因考虑到患者家族聚集性发病特点,医生争分夺秒地为患者两位家属行纤维支气管镜检查,肺泡灌洗液NGS结果回报:鹦鹉热衣原体,根据病原学结果指导患者的抗感染治疗。经过1周高流量湿化氧疗、抗感染、补液、改善心功能等治疗后患者病情有所好转,心肾功能改善,生命体征相对平稳。

  但患者高龄、痰多、咳痰无力,呼吸科张纳新主任指示尽快行纤维支气管镜检查,促进痰液排出,避免痰液阻塞气道。王春喜副主任医师、陶丝煦医师全面评估患者一般状况、心肺功能后,做好充足准备,于床旁行纤维支气管镜检查,吸出大量黄色粘痰。此后患者呼吸道症状逐渐好转,体温正常,咳嗽减少,呼吸衰竭有所改善,复查胸片提示双肺炎症较前吸收。

  治疗中,患者曾再次出现发热,体温最高至38.9℃,高流量湿化氧疗基础上患者末梢氧合下降,波动在88%左右,行胸部CT提示双肺炎性病变伴膨胀不全,双肺间质性改变,双侧胸腔积液(见图2)。张纳新主任指示患者高龄、再次出现体温波动,考虑感染反复,耐碳青霉烯类肠杆菌科感染可能性大,需尽快完善病原学检测,为患者的治疗争分夺秒。王春喜副主任医师、陶丝煦医师在做好充足准备后迅速再次为患者行床旁纤维支气管镜检查,留取肺泡灌洗液送检微生物宏基因组学序列检查(mNGS),与此同时为更快速得到病原学结果,取到标本后第一时间应用我科目前大力开展的床旁快速微生物学评价(M-rose)技术,30分钟内即得到了初步病原学结果,考虑鲍曼不动杆菌感染(见图3),立即调整抗感染药物,48小时后患者mNGS检测结果回报与M-rose鉴定结果一致。

  图2胸部CT(2022.3.19)

 图3-1 革兰氏染色-鲍曼不动杆菌

  图3-2 Diff-Quick染色-鲍曼不动杆菌

  M-rose技术的开展使得我们在取得肺泡灌洗液标本后30分钟内即可初步得到病原学结果,医生及时为患者制定了个体化抗感染方案,选用针对鲍曼不动杆菌的药物抗感染治疗,同时结合mNGS结果的回报也印证了M-rose结果的可信度,通过两种检测技术的联合应用,我们可以做到真正的及时、快速、精准化抗感染治疗。

  经1周有效的抗感染治疗后,患者复查胸部CT,双肺炎症较前吸收好转(见图4),现已出院,继续应用家庭氧疗。

  图4治疗后复查胸部CT(2022.3.26)

  什么是床旁快速微生物学评价(M-rose)?

  快速现场评价(rapid on site evaluation,ROSE)是指一种用穿刺、活检、刷检等方法采样,通过直接细胞液涂片或组织印片制作细胞学标本,应用快速染色的方法,由专业人员现场对取材满意度进行评价并对诊断做出初判,以指导下一步操作和标本分流的技术。呼吸ROSE技术主要包括两大部分:快速现场细胞学评价(cytological ROSE,C-ROSE)和快速现场微生物学评价(microbiological ROSE,M-ROSE)。M-ROSE主要用于感染性疾病,提供细胞分类计数等细胞学背景及部分微生物病原的形态学依据,评价取材满意度的同时协助临床医生做出初步病原学诊断(见图5)。此外,自我科开展M-rose技术以来,通过前期数据收集及分析发现,应用M-rose技术所提供的细胞分类计数结果也能在某些方面代表该患者感染的严重程度。

  图5 M-rose实操图

  (呼吸科)

      特色治疗项目
 特色诊疗 更多
·诊治疾病及特色技术
·无创呼吸机在呼吸衰竭患者中的应用
·气管镜在呼吸系统中的应用
·肺功能检查
·肺栓塞的介入治疗
 技术前沿 更多
·荧光探针定量PCR检测结核分歧杆...
·ECT应用于诊断肺栓塞
·肺炎支原体快速培养法
·结合CT肺功能检测辅助诊断COPD
友情链接 >>
 
版权声明 | 法律责任 | 隐私声明 | 网站地图 | 联系我们
医院地址:天津市河东区津塘路83号 邮编:300170
电话:022-84112114 传真:022-84112095
备案序号:津ICP备05000049号-1